Note
This is only possible when the surgical template is created based on a dental scan.
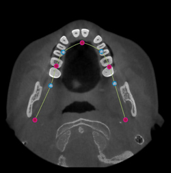
If the virtual template is not correctly distributed over the dental arch (extending evenly over the labial/buccal and lingual surfaces), edit its shape.

Change the shape of the blue line in the Edit Template wizard to make the curve coincide with the dental arch.
Click Edit Template
in the Finalize tab or click the Edit template shape action on the Check result page.
Click and drag the dots on the curve to change the position.
When the position of the blue line coincides better with the dental arch, click Finish.
The virtual surgical template is regenerated.
If the fit is still not optimal, repeat these steps until an optimal fit is achieved.